Was ist ein Pleuraempyem?
Die Lunge und die Innenseite der Brustwand werden jeweils von einer feinen Haut, der sogenannten Pleura, überzogen. Im Normalfall befindet sich zwischen den beiden Blättern der Pleura eine geringe Menge an eiweißhaltiger Flüssigkeit, um die Gleitbewegungen der Lunge beim Ein- und Ausatmen zu unterstützen.
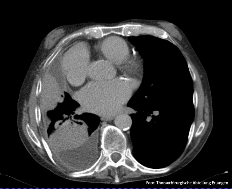
Unter einem Pleuraempyem (auch Pyothorax genannt) versteht man die Ansammlung von Eiter in der Brusthöhle, was häufig zu Atembeschwerden führt. Ursache für die lokale Bildung von Eiter ist immer eine Entzündung, die meistens durch eine bakterielle Infektion ausgelöst wird.
Die Erreger können dabei auf ganz unterschiedlichen Wegen in den Pleuraspalt gelangen: Ein Übertritt von Bakterien kann beispielsweise während einer Lungenentzündung sowie durch außen gelegene Lungentumoren oder weiteren von der Lunge ausgehenden Erkrankungen geschehen. Außerdem besteht auch die Möglichkeit einer Verschleppung der Erreger aus entzündeten, benachbarten Bauchorganen. Nicht selten können auch durch Unfallverletzungen im Brustraum entsprechende Erreger in den Pleuraspalt eindringen und ein Pleuraempyem verursachen.
Was sind die Symptome eines Pleuraempyems?
Durch die Eiteransammlung im Pleuraspalt wird die Lungenfunktion erheblich beeinträchtigt, was sich in Atembeschwerden bis hin zu Atemnot äußern kann. Aufgrund der schweren Infektion leiden die betroffenen Patienten unter hohem Fieber, das nicht selten von Husten und Schmerzen im Brust- und Schulterbereich begleitet wird.
Wie wird ein Pleuraempyem diagnostiziert?
Besteht der Verdacht auf ein Pleuraempyem, so erfolgt zunächst eine körperliche Untersuchung, bei der der Arzt die Brustkorboberfläche abklopft und den Brustkorb sowie die Atemwege abhört. Hinweise auf ein Pleuraempyem wären ein gedämpfter Klopfschall und verminderte Atemgeräusche. Die Festigung der Diagnose erfolgt anschließend durch eine Röntgen- bzw. CT-Aufnahme, wobei eine CT-Untersuchung zur präoperativen Lagebestimmung bzw. Ausdehnung der Eiteransammlung unerlässlich ist.
Wie wird ein Pleuraempyem therapiert?
Prinzipiell richtet sich die Therapie des Pleuraempyems auch nach der eigentlichen Grunderkrankung, deren Ursache zuerst ermittelt und beseitigt werden sollte. Die Ausbildung eines Pleuraempyems lässt sich zusätzlich in mehrere Stadien unterteilen, wobei sich die moderne stadienadaptierte Therapie in der Thoraxchirurgischen Abteilung Erlangen an dem jeweiligen Stadium der Erkrankung orientiert, in dem sich der Patient befindet.
Da im Stadium 1 nur ein Erguss ohne ausgeprägte Eiteransammlung vorherrscht, kann die Anlage einer Thoraxdrainage und eine Antibiotikabehandlung zur Therapie ausreichen. Die Thoraxdrainage ist ein dünner Schlauch, der an der seitlichen Brustwand in den Pleuraspalt eingebracht wird und mittels eines Saugsystems Ergussflüssigkeit und Erreger aus dem Pleuraspaltspalt entfernt.
Ist bereits eine beträchtliche Eiteransammlung im Pleuraspalt vorhanden, so befindet sich der Patient in Stadium 2 und ein video-assistierter-minimal-invasiver Eingriff (VATS-Empyemausräumung) wird notwendig. Über drei kleine Hautschnitte werden eine spezielle Videokamera sowie zwei weitere Operationsinstrumente in den Brustkorb eingebracht, sodass unter Kamera-Sicht die Brusthöhle gespült und ausgesaugt werden kann.
Ohne jegliche vorherige Behandlung kann auch ein Pleuraempyem im Stadium 3 auftreten. In diesen Fällen entsteht aufgrund der chronischen eitrigen Entzündung im Pleuraspalt eine sogenannte Pleuraschwarte. Ausgelöst durch die chronische Infektion bilden sich Bindegewebswucherungen auf der Pleura, weshalb sich die Lunge beim Einatmen nicht mehr richtig ausdehnen kann und die Lungenfunktion stark beeinträchtigt wird. In diesem Stadium ist es daher oftmals notwendig die Brusthöhle durch einen ca. 5-7cm langen Schnitt ca. 10cm unterhalb der Achselhöhle zu eröffnen (offene Thorakotomie), um Zugang zum Operationsfeld zu erlangen und die verdickte Pleura sowie etwaige Eiteransammlungen zu entfernen. Im Anschluss erfolgen regelmäßige Spülungen oder eine Vakuumtherapie, bevor die Öffnung der Brusthöhle wieder chirurgisch verschlossen wird.
Sowohl nach einer VATS-Empyemausräumung als auch nach einer Operation mit offener Thorakotomie ist die Anlage einer Thoraxdrainage und eine Antibiotikabehandlung notwendig.

